MRI Movies

blue bar

Working in a MRI environment results in an unusual view of ones body. For instance, would anyone recognise me walking down the street from these?

MPEG movies
Acquired using 1·5T Siemens MRI scanners at the Queen's Medical Centre, Nottingham, England.
psm head Rotating head (421kb)
psm brain Rotating brain (1688kb)
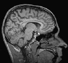
psm sag Sagittal images (looking in a right-to-left direction, 862kb)
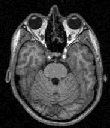
psm tra Transaxial images (looking in a feet-to-head direction, 1152kb)
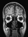
psm cor Coronal images (looking in a back-to-front direction, 1197kb)
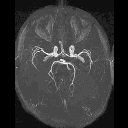
psm cow Arteries in my head (Circle of Willis). The movie starts by viewing the front of my head, then rotating right-to-left, 1232kb)
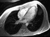
psm heart My heart (254kb)

You also can wander through the whole of my head thanks to Neurosciences at the Queen's Medical Centre, Nottingham.

blue bar